Αιμαγγείωμα ήπατος. Τι είναι και πως απεικονίζεται.

Το ήπαρ είναι το μεγαλύτερο όργανο του σώματος.Καταλαμβάνει το δεξιό υποχόνδριο,το μεγαλύτερο μέρος του επιγαστρίου και συνήθως επεκτείνεται στο αριστερό υποχόνδριο μέχρι την αριστερή μαζική γραμμμή.Ύπαρχουν διάφορες τεχνικές για την ακτινολογική μελέτη του οργάνου.Ωστόσο η κάθε τεχνική εξαρτάται από το ιστορικό του αρρώστου,τη φυσική εξέταση και την κλινική διάγνωση.
Οι απεικονιστικοί μέθοδοι που μπορούν να εφαρμοστούν είναι:
1.Απλή ακτινογραφία κοιλίας σε όρθια θέση.
2.Υπερηχοτομογραφία.( Υπέρηχος)
3.Αξονική τομογραφία.
4.Ραδιοϊσοτοπική τομογραφία.
5.Αγγειογραφική μελέτη.
6.Απεικόνιση με τη μέθοδο του μαγνητικού συντονισμού.
7.Διαδερμική βιοψία,παροχέτευση και άλλες παρεμβατικές εξετάσεις.
Με τη μέθοδο της υπερηχοτομογραφίας,έχουμε τη δυνατότητα να απεικονίσουμε το τοίχωμα της χοληδόχου κύστεως,η οποία μπορεί να μας βοηθήσει στη διάγνωση της χρόνιας χολοκυστίτιδας,του αποφρακτικού και μη αποφρακτικού ικτέρου,της διαφορικής διάγνωσης μεταξύ των κύστεων και των συμπαγών όγκων του ήπατος,την παρυφή και τις διαστάσεις του ηπατικού παρεγχύματος,όπως επίσης την εξακρίβωση λίθων στις χοληφόρους οδούς και στη χοληδόχο κύστη.
Το αιμαγγείωμα υπάγεται στα καλοήθη νεοπλάσματα του ήπατος και είναι ο πιο συχνός πρωτοπαθής όγκος του οργάνου.Αποτελεί το 10% των υγιών ατόμων,εμφανίζεται έξι φορές περισσότερο στις γυναίκες παρά στους άνδρες και η διαφορική του διάγνωση γίνεται από πρωτοπαθείς όγκους ή από μονήρεις μεταστάσεις του οργάνου.
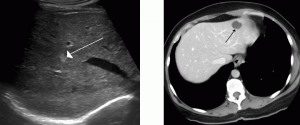
Το υπερηχοτομογράφημα δίνει χαρακτηριστική εικόνα,με σχετικά έντονη ηχογένεια,η οποία οφείλεται στις πολλαπλές ανακλάσεις,αποτέλεσμα της παρουσίας των πολλαπλών αγγείων που περιέχει αυτός ο όγκος.
Το αιμαγγείωμα στην αξονική τομογρφία,χωρίς την ενδοφλέβια χορήγηση σκιαγραφικής ουσίας,εμφανίζεται ώς υποπυκνοτική περιοχή,ενώ μετά την ενδοφλέβια χορήγηση σκιαγραφικής ουσίας παρουσιάζει έντονο εμπλουτισμό που αρχίζει πρώτα από την περιφέρεια.Σε καθυστερημένες τομές σκιαγραφείται χαρακτηριστικά και το κέντρο του καλοήθους αυτού όγκου.Η διάγνωση επιβεβαιώνεται με την αρτηριογραφία,καθώς βλέπουμε πολλα μικρά ελικοειδή ή στρογγυλά αγγεία,στα οποία παραμένει η σκιαγραφική ουσία για χρονικό διάστημα 20-40 δευτερολέπτων.
Τέλος με την εξέταση της μαγνητικής τομογραφίας,η απεικόνιση μπορεί να γίνει σε διάφορες παλμικές ακολουθίες για πιο αξιόπιστη μελέτη του όγκου.

