Υδρονέφρωση

Ονομάζεται η διεύρυνση της νεφρικής πυέλου (εσωτερικό τμήμα του νεφρού, απ’ όπου αποβάλλονται τα ούρα προς τον ουρητήρα), με ή χωρίς διάταση των ουρητήρων και της κύστης.
Αιτιολογικοί παράγοντες.
Αναφερονται συνήθως σε απόφραξη της ουροφόρου οδού, σε απόφραξη της πυελοουρητηρικής ή της κυστεοουρητηρικής συμβολής (όπως σε κυστεοουρητηρική παλινδρόμηση), σε απόφραξη ουρητήρα ή ουρήθρας (ουρητηροκήλη, νεοπλασία, λίθος), βαλβίδες οπίσθιας ουρήθρας ή εκκολπώματα (νεφρικής πυέλου, ουρητήρα, στομίου ουροδόχου κύστης). Η απόφραξη μπορεί να προκαλείται είτε από πίεση εκ των έξω (από αγγεία, κλπ) ή εκ των έσω.
Πιθανοί εκλυτικοί παράγοντες θεωρούνται ο σακχαρώδης διαβήτης, η χρήση κοκαΐνης, θαλιδομίδης, βενζοδιαζεπινών.
Επιδημιολογία.
Η νεφρική αυτή ανωμαλία εμφανίζεται συνηθέστερα περιγεννητικά (στο 75% των περιπτώσεων).Η συχνότητα εμφάνισής της μπορεί να φτάσει και έως 1:1000 γεννήσεις. Στο 75% των περιπτώσεων είναι μονόπλευρη (στον ένα από τους 2 νεφρούς). Η συχνότητα εμφάνισής της είναι μεγαλύτερη στα αγόρια, παρά στα κορίτσια.
Συμπτωματολογία.
Τα παιδιά που στο ιστορικό τους έχουν την ύπαρξη υδρονέφρωσης, απαιτούν ιδιαίτερη προσοχή στο χειρισμό ουρολοιμώξεων και άλλων καταστάσεων. Στο προγεννητικό υπερηχογράφημα παρέχεται η πληροφορία για το πρόβλημα και μας δίνει τη δυνατότητα να ενεργήσουμε (ακόμα και θεραπευτικά) πρωτού το παιδί εμφανίσει συμπτώματα, όπως ουρολοίμωξη (συνηθέστερα) ή προβλήματα ούρησης.
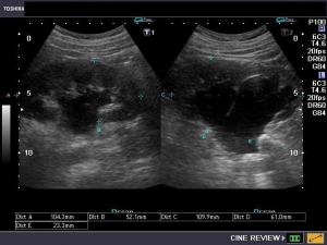
Διάγνωση της νόσου - Εξετάσεις.
Η διάγνωση της νόσου γίνεται υπερηχογραφικά. Η διεύρυνση της νεφρικής πυέλου φαίνεται ικανοποιητικά στον υπερηχοτομογραφικό έλεγχο, κατά τον οποίο μετρώνται οι διαστάσεις τόσο της νεφρικής πυέλου και τον νεφρού, όσο και των ουρητήρων (αν αυτό είναι εφικτό). Ωστόσο, στις περιπτώσεις που το πρόβλημα είναι συγγενές, μπορεί να εντοπιστεί και προγεννητικά με το προγεννητικό υπερηχογράφημα, όπως αναφέρεται πιο πάνω.
Υπάρχουν πολλές μέθοδοι υπολογισμού της βαρύτητας της υδρονέφρωσης και διάφορα συστήματα ταξινόμησής της, ανάλογα με το μέγεθος της πυέλου, των ουρητήρων, κλπ.
Σε κάθε παιδί στο οποίο έχει διαγνωσθεί προγεννητικά υδρονέφρωση πρέπει να παρακολουθείται στενά τον πρώτο χρόνο ζωής του (γενική και καλλιέργεια ούρων στο δεύτερο 24ωρο, υπερηχογράφημα, κυστεουρηθρογραφία) ανάλογα με την περίπτωση. Και σε μεγαλύτερη ηλικία δυναμικό σπινθηρογράφημα για τον έλεγχο της λειτουργίας των νεφρών του.
Χαρακτηριστικό είναι ότι στις μισές περίπου των περιπτώσεων δεν υπάρχει παθολογικό υπόστρωμα στην υδρονέφρωση, αλλά παροδική υδρονέφρωση, που βελτιώνεται σταδιακά και δεν απαιτεί χειρουργική επέμβαση. Σε κάθε περίπτωση είναι απαραίτητη η συμβουλή του παιδιάτρου για το σωστό έλεγχο και την επιλογή της κατάλληλης χειρουργικής επέμβασης.
Επιπλοκές.
Η υδρονέφρωση μπορεί να προκαλέσει ουρολοιμώξεις, νεφρολιθίαση και, εάν δεν αντιμετωπιστεί εγκαίρως, μπορεί να οδηγήσει ακόμη και σε νεφρική ανεπάρκεια.
Θεραπεία - Μέθοδοι αντιμετώπισης.
Αμέσως μετά τη γέννηση η διούρηση είναι παρούσα, εξαιτίας του stress του τοκετού, χειροτερεύει όμως τις επόμενες ημέρες. Ανάλογα με τη βλάβη και τη σοβαρότητα της υδρονέφρωσης άλλες φορές απαιτείται άμεσα χειρουργική επέμβαση και άλλες όχι. Στην περίπτωση της κυστεοουρητηρικής παλινδρόμησης, γίνεται έναρξη αντιβιοτικής αγωγής για την αποφυγή των λοιμώξεων.
Απόλυτες ενδείξεις χειρουργικής επέμβασης είναι οι ύπαρξη βαλβίδων οπίσθιας ουρήθρας και η ουρητηροκήλη. Στις υπόλοιπες περιπτώσεις συνίσταται καλός έλεγχος του κάθε περιστατικού και εξατομικευμένη αντιμετώπιση.
Πρόγνωση.
Μετά τη γέννηση παρατηρείται αυτόματη ύφεση στο 40% περίπου των περιπτώσεων. Η έγκαιρη ανίχνευση και σωστή αντιμετώπιση τα πρώτα χρόνια ζωής οδηγεί στην αποφυγή μη αναστρέψιμων νεφρικών βλαβών. Οι χειρουργικές επεμβάσεις, εφόσον απαιτούνται, είναι ιδιαίτερα επιτυχείς.

